Sonrisas que hablan por sí solas

Cada sonrisa cuenta una historia real

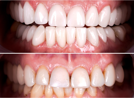
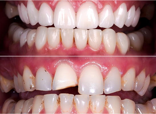
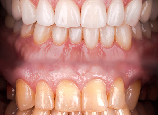
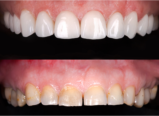
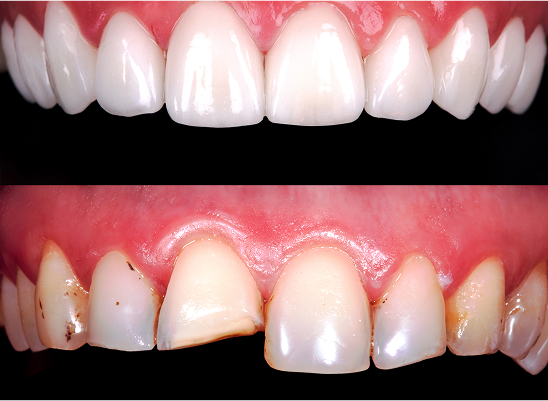
Me emociona compartir contigo los resultados reales de personas que confiaron en mí para transformar su sonrisa. Aquí verás algunos de los tratamientos realizados, desde casos sencillos hasta otros más complejos. Cada uno de ellos refleja no solo el trabajo técnico, sino también el cariño y compromiso que pongo en cada proceso. Espero que estas historias te inspiren a dar el paso. Tu sonrisa también puede ser una de estas.